The article ” “Clinical Value of Optimized FLAIR Imaging at 7 Tesla: Neuroimaging Case Examples.” has been featured in MAGNETOM Flash, Issue 97 (2/2026, ISMRM Edition). Co-authored by Emilie Sleight, CIBM MRI EPFL Section and Fréderic Grouiller, CIBM MRI HUG UNIGE Section, Felix Kurtz, HUG, presents our continued commitment to advancing ultra-high-field MRI and its clinical translation.
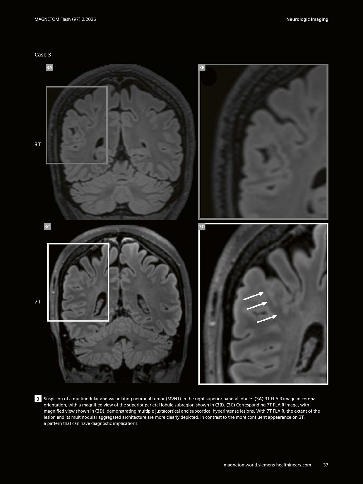
The article highlights how optimised 7T FLAIR imaging enhances lesion detection and characterisation, with compelling clinical cases demonstrating its added value in neurological disorders such as multiple sclerosis and epilepsy. This work further underscores the growing role of 7T MRI in bridging cutting-edge research and clinical practice.
